经支气管镜肺活检精准发力 南通中医帮扶团队为贵德患者锁定肺癌病因
原创
南通发布
浏览量
全文468个字
阅读约需 分钟
近日,南通市中医院呼吸与危重症医学科主治中医师徐徐,作为新一轮对口帮扶青海省贵德县人民医院医疗队成员,成功运用前沿微创诊断技术,为当地一位80岁高龄患者明确病因,实现精准诊疗。

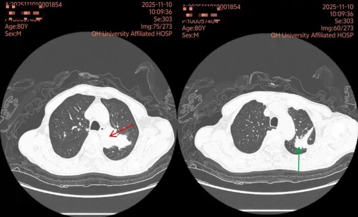
据悉,老人近半个月来反复出现胸口隐痛症状,左侧后背痛感尤为明显。经胸部CT检查,发现其左肺存在占位性病变,疑为肺癌,并伴有部分肺组织萎缩。此外,检查显示老人还存在慢性支气管炎、少量心包积液、血管增宽及胸椎骨折等问题。

为明确病因,徐徐与家属充分沟通后,决定为老人实施“经支气管镜肺活检”。这项技术通过一根细软的管子,从口腔或鼻腔进入气管,直达肺部病灶处取组织进行化验,具有创伤小、手术时间短、恢复快等优势。

检查过程很顺利,取出的组织经过化验,最终确诊是“肺腺癌”。困扰老人多日的胸痛原因,终于水落石出。
此次帮扶工作不止于单次诊疗。目前,徐徐已受聘为贵德县人民医院呼吸与危重症专业组长,正牵头协助受援科室完善核心制度,从科研学术、人才培养、临床技能到学科管理等多维度发力,推动帮扶从“点对点”技术支持向“体系化”能力建设深化,助力当地打造一支“带不走的专业队伍”。